| 톈진대학, 연골세포 저비용 안전보존 신기술 개발 | ||
|
||
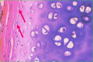
![]() 톈진(天津)대학 화공학원 장레이(张雷)/양징(杨静) 연구팀은 새로운 세포 초저온 보존 기술을 성공적으로 개발함으로써 최초로 저비용, 무독성, 무부작용의 인간 연골 세포 초저온 보존을 구현했다. 세포 치료 분야의 이 획기적인 성과는 혈액질환과 암 환자에게 좋은 소식을 가져다주었다. 해당 성과는 "Biomacromolecules"에 게제되었다. 세포치료는 세포를 체외 배양한 후 환자 체내에 이식하여 인체의 손상된 조직 또는 세포를 복구하거나 대체하여 치유하는 것을 말한다. 세포를 초저온 냉동 보존하여 미래에 "깨우"거나 치료하는데 사용하는 것은 인류 의학 발전사에서 가장 상상력이 풍부한 "후회약"으로 불린다. 세포가 저온 냉동시 손상 받지 않도록 하기 위해 기존에는 주로 유기 보호제인 다이메틸설폭사이드(DMSO)를 첨가했다. 해당 보호제는 자체적 독성이 있기에 세포가 냉동에서 복구된 후 반드시 복잡한 독성 세척 절차를 거쳐야만 배양 확장 또는 환자의 체내에 주입할 수 있다. 독성 세척 후에도 소생된 세포는 환자의 메스꺼움과 구토, 기관지경련, 신부전 및 심정지와 같은 많은 부작용을 일으킬 수 있다. 또한, 중국의 임상응용 냉동보존 보호제는 줄곧 수입품에 의존하여 가격도 아주 비싸다. 연구팀은 창조적으로 천연 양성 이온 베타인을 세포 냉동보존 보호제로 사용하여 인체 연골 세포의 초저온 보존에 성공했으며 세포 소생의 생존율은 90%이상에 달했다. 실험 결과, 해당 보호제는 연골 세포의 활성과 기능에 뚜렷한 손상이 없고 세포 소생 후, 보호제 용출의 복잡한 과정이 필요 없이 직접 임상 치료에 사용될 것으로 예상된다. 해당 연구 성과는 중국 특허를 받았고 국제 PCT 특허를 출원했다. 또한, 다양한 종류의 인체 세포에도 실험 중이다. 새로 개발한 세포 초저온 보호제는 세포에 완전 무독무해하고 기존의 수입제품을 대체할 수 있으며 과학 연구와 임상 비용을 대폭 절감시킬 수 있다. 정보출처 : http://digitalpaper.stdaily.com/http_www.kjrb.com/kjrb/html/2019-10/22/content_433131.htm?div=-1 |
